É a ciência que estuda e trata as doenças do sistema de implantação e suporte dos dentes, o Periodonto. Periodonto (Peri = em torno de, odonto = dente) é composto pela Gengiva, Cemento Radicular, Ligamento Periodontal e Osso Alveolar.
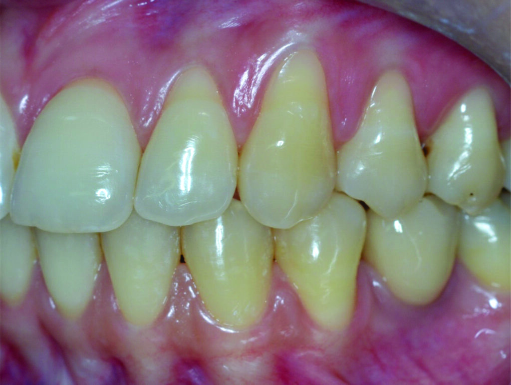
A gengivite é caracterizada pela inflamação do tecido gengival, causada pela proliferação de bactérias. Quando a higiene bucal não é feita da forma adequada ocorre o acúmulo de bactérias que leva a formação de uma placa bacteriana, uma película viscosa e incolor. Em um primeiro momento, esta placa é de fácil remoção, com o passar do tempo ela se calcifica e adere firmemente ao dente (Tártaro). Caso não seja removida, essa placa pode liberar toxinas que afetam a gengiva e desencadeiam o problema.
Inflamação
Gengiva inflamada;
Vermelha escura;
Inchada;
Dolorida;
Sangramento e até supuração ao toque;
Pode haver Mau Hálito;
NÃO há Perda Óssea.
Gengivite Necrosante
O Exame Radiográfico não evidencia Perda Óssea
Como deve ser o Tratamento?
O tratamento deve ser realizado por um Cirurgião-Dentista sendo baseado na remoção do tártaro e restabelecimento de uma higienização oral efetiva, podendo ser necessário o uso de escovas dentais especiais, cremes dentais específicos, enxaguatórios bucais e até mesmo medicamentos. Mas tudo com recomendação e acompanhamento Profissional.
A Periodontite, também conhecida com Doença Periodontal, é a evolução da Gengivite. Com o aumento do acúmulo de Tártaro, que ocorre em direção à raiz, nosso organismo responde às agressões geradas pelas bactérias que o compõem promovendo uma reabsorção do Osso Alveolar, que é de suma importância para a manutenção do dente. Essa Perda Óssea pode se desenvolver de várias formas: localizada, acometendo um ou poucos dentes, ou generalizada, onde praticamente todos os dentes são afetados; pode ter uma evolução lenta, Periodontite do Adulto, ou evoluir de forma rápida e agressiva, onde uma pessoa jovem apresente uma perda óssea em estágio avançado.
Gengiva inflamada;
Vermelha (escura);
Inchada;
Sangramento e Supuração ao toque
Há Perda Óssea e de Inserção
MAU HÁLITO
Migração e mobilidade Dentária
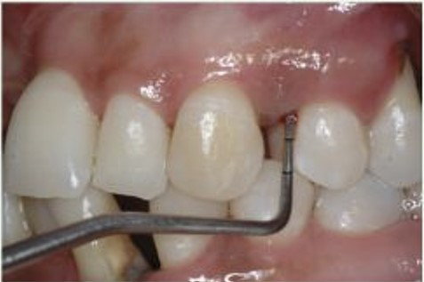
Profundidade de Sondagem aumentada
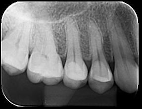
O Exame Radiográfico evidencia Perda Óssea
Como deve ser o Tratamento?
O tratamento deve ser realizado por um Cirurgião-Dentista capacitado, preferencialmente um PERIODONTISTA (um especialista). Bem como na Gengivite, deve ser realizada a remoção do tártaro de forma muito criteriosa, pois também deve ser removido o cemento radicular contaminado, promovendo um alisamento da superfície radicular. A utilização de antibioticoterapia fica a critério do profissional. Também é de suma importância o restabelecimento de uma higienização oral efetiva, podendo ser necessário o uso de escovas dentais especiais, cremes dentais específicos, enxaguatórios bucais. Mas tudo com recomendação e acompanhamento Profissional.
Com o advento dos Implantes Dentários , em alguns casos , pode-se sacrificar algum dente com o intuito de preservar osso, visando o não comprometimento de uma futura reabilitação com Implantes. Esta analise deve ser muito criteriosa e muito bem esclarecida ao paciente.
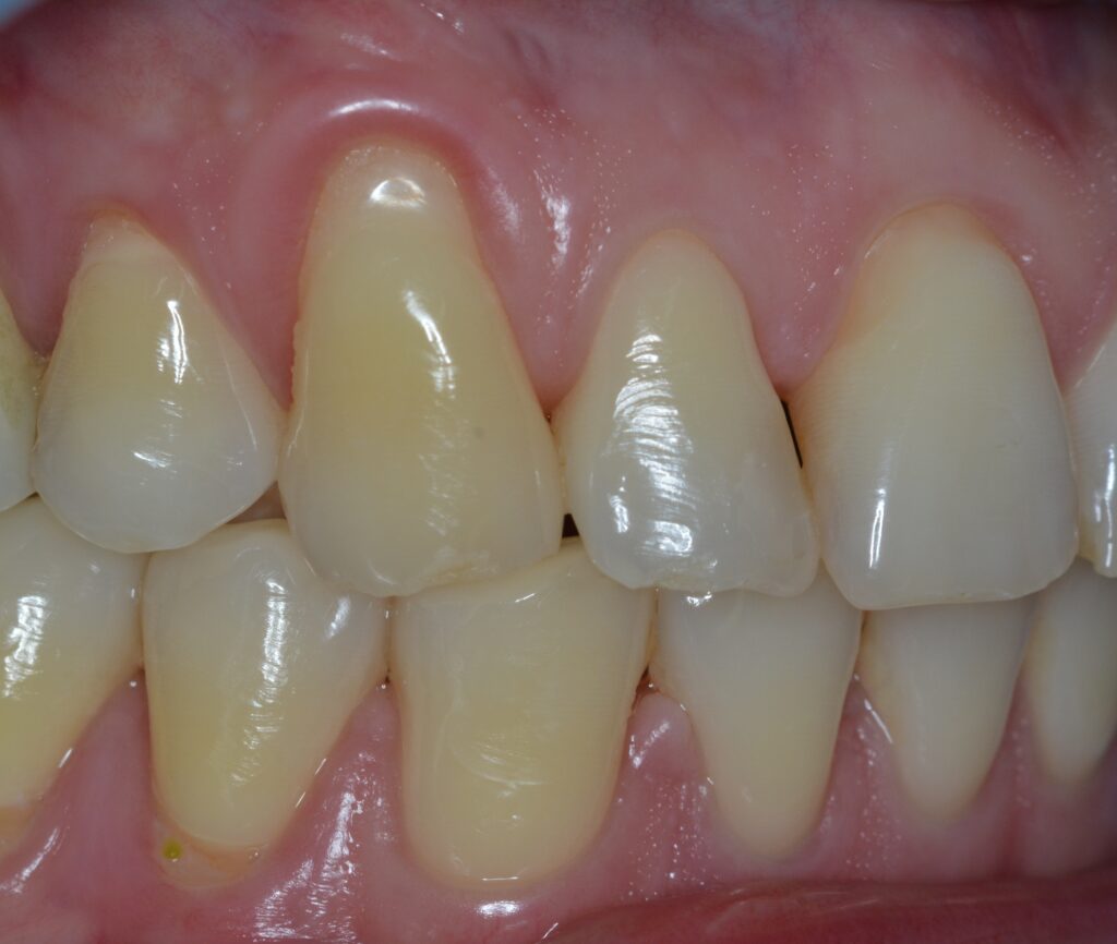
Retração ou Recessão Gengival é o que ocorre quando a margem gengival migra em direção apical (ponta da raiz) deixando raiz exposta.
Principais causas
O surgimento de uma Retração Gengival normalmente ocorre por uma interação de fatores, de forma que temos fatores predisponentes (ausência de Gengiva Queratinizada, má posição dentária, tração de freios e bridas, etc) e fatores desencadeantes (escovação traumática, Coroas desadaptadas, inflamação, trauma oclusal, fumo, etc).
Sinais e Sintomas
Pode ocorrer em um único dente;
Pode ocorrer em vários (Múltiplas)
Aspecto antiestético;
Maior facilidade de desenvolver cárie radicular;
Aumento da Sensibilidade a alterações de Temperatura.
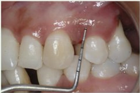
Exame Radiográfico
O exame Radiográfico é muito importante, deve ser observado o volume e a posição da crista óssea para que se tenha uma melhor condição de previsibilidades, viabilidade e escolha da técnica a ser utilizada. (RX Periapical e Interproximal)
Tratamento
O tratamento começa pela identificação da causa e sua eliminação. Feito isso, é necessária uma avaliação da necessidade, viabilidade e efetividade da terapia cirúrgica. Várias técnicas cirúrgicas foram descritas com a possibilidades de atingir um recobrimento muito satisfatório, tanto para retrações isoladas quanto para múltiplas, cabe ao Periodontista avaliar e decidir qual a melhor forma de atuação.
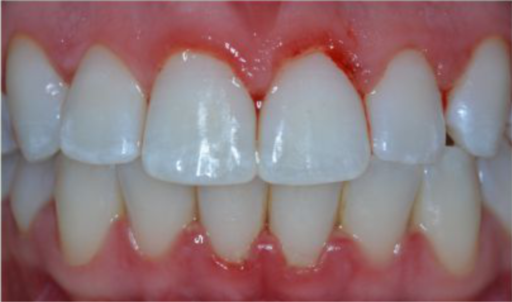
Enxerto Gengival
Existem várias técnicas descritas para a cirurgia de Enxerto Gengival. O grande objetivo desta intervenção é melhora a qualidade da gengiva, de modo que ela fique mais resistente às agressões sofridas no meio bucal. O Recobrimento Radicular vem em segundo plano e em alguns casos pode ser parcial. Ainda hoje, o enxerto autógeno (material retirado do próprio indivíduo) é considerado o padrão ouro e a área doadora mais frequente é o palato. Os materiais existentes, que buscam substituir o enxerto autógeno, devem ser utilizados quando a área doadora não possa suprir a quantidade necessária de enxerto. Também existem materiais coadjuvantes (como Endogain) que melhoram a previsibilidade e diminuem a chance de recidiva.
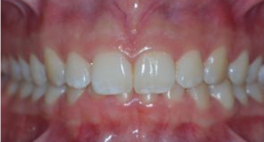
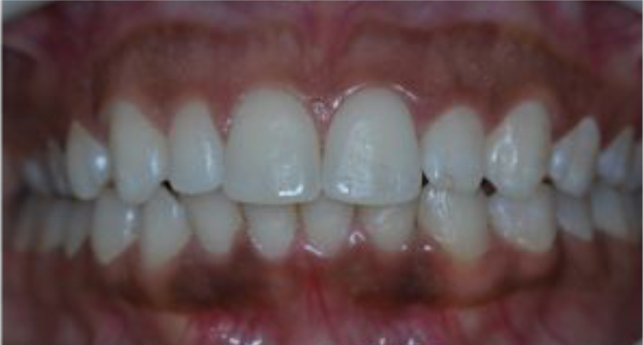
Há quem diga que seu Sorriso é seu cartão de visitas. Um sorriso harmônico pode ser traduzido como estético, bonito. Mas a harmonia de um sorriso não se restringe à estética rosa e branca (gengiva e dentes) vai muito além. Várias analises com medidas e proporções definem alguns fundamentos de estética como proporção entre os dentes; tamanho e formato dos dentes compatíveis com o rosto; espessura labial superior e inferior; linha do sorriso Superior (tanto que o lábio sobe e expõe os dentes) e inferior.
Sorriso Gengival
Sorriso Gengival é caracterizado por uma excessiva exposição da gengival superior no momento da realização de um sorriso. Normalmente, não traz danos à saúde. O problema está na aceitação individual e pessoal de um possível desconforto estético causado pela ausência de harmonia e simetria facial.
O grau de exposição (quantidade) gengival varia de pessoa para pessoa consequentemente a solução deve ser adequada à cada caso, podendo ir de uma simples aplicação de toxina botulínica passando cirurgia plásticas periodontais simples à complexas.
Uma avaliação criteriosa deve ser realizada pelo periodontista, para tanto podem ser utilizados exames radiográficos, tomográficos e fotográficos. Desta forma, o profissional terá como definir a melhor forma de intervenção.
Casos Clínicos
Toxina Botulínica
A aplicação de Toxina Botulínica na musculatura que promove a subida do lábio superior, pode trazer um efeito muito satisfatório que dura em média de 4 a 6 meses. Em alguns casos pode gerar um efeito desagradável conhecido como Sorriso de Coringa.
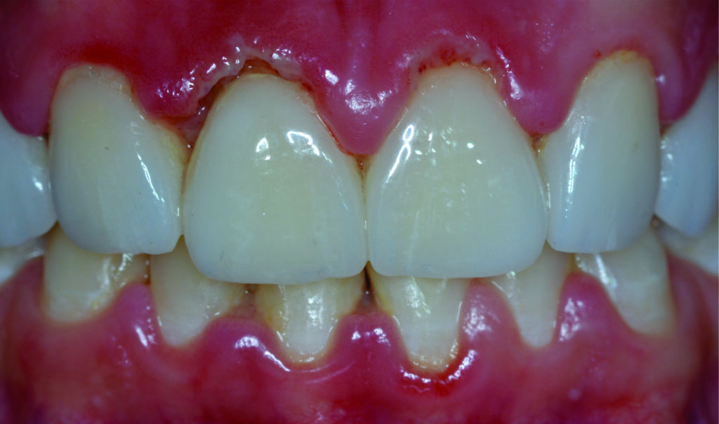
Também conhecida como Cirurgia Plástico Gengival ou Cirurgia de Aumento de Coroa Clínica, tem como finalidade aumentar a exposição do dente retirando tecido gengival e em alguns casos retirando osso alveolar, buscando sempre uma maior harmonia do sorriso. Em determinados casos, pode ser utilizado uma placa de cimento ortopédico, posicionada na base do nariz, com o objetivo de inibir a subida do lábio superior durante o sorriso.
Exames Complementares
Faz se necessária uma avaliação criteriosa de exames complementares que envolvem radiografias, tomografias e fotografias. Esta avaliação busca definir o tanto de gengiva e ou osso que deve ou pode ser removido, tendo o profissional (Periodontista) uma previsibilidade do resultado final.